|
Background: |
This gene encodes a member of the Asp-Glu-Ala-Asp (DEAD) box protein family. Members of this protein family are putative RNA helicases, and are implicated in a number of cellular processes involving alteration of RNA secondary structure such as translation initiation, nuclear and mitochondrial splicing, and ribosome and spliceosome assembly. Members of this family are believed to be involved in embryogenesis, spermatogenesis, and cellular growth and division. Two transcript variants encoding the same protein have been identified for this gene. |
|
Applications: |
ELISA, IHC |
|
Name of antibody: |
DDX42 |
|
Immunogen: |
Fusion protein of human DDX42 |
|
Full name: |
DEAD-box helicase 42 |
|
Synonyms: |
RHELP; RNAHP; SF3B8; DDX42P; SF3b125 |
|
SwissProt: |
Q86XP3 |
|
ELISA Recommended dilution: |
5000-10000 |
|
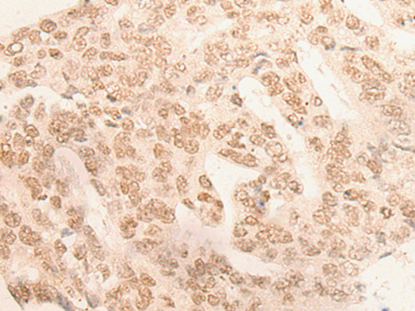
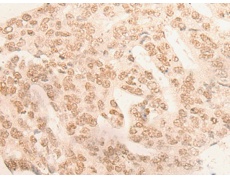
IHC positive control: |
Human colorectal cancer |
|
IHC Recommend dilution: |
20-100 |
購物車
幫助
021-54845833/15800441009
