中文名稱: 兔抗TWSG1多克隆抗體
|
Background: |
May be involved in dorsoventral axis formation. Seems to antagonize BMP signaling by forming ternary complexes with CHRD and BMPs, thereby preventing BMPs from binding to their receptors. In addition to the anti-BMP function, also has pro-BMP activity, partly mediated by cleavage and degradation of CHRD, which releases BMPs from ternary complexes. May be an important modulator of BMP-regulated cartilage development and chondrocyte differentiation. May play a role in thymocyte development (By similarity). |
|
Applications: |
ELISA, IHC |
|
Name of antibody: |
TWSG1 |
|
Immunogen: |
Fusion protein of human TWSG1 |
|
Full name: |
twisted gastrulation BMP signaling modulator 1 |
|
Synonyms: |
TSG |
|
SwissProt: |
Q9GZX9 |
|
ELISA Recommended dilution: |
5000-10000 |
|
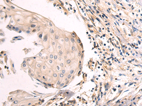
IHC positive control: |
Human esophagus cancer and Human colorectal cancer |
|
IHC Recommend dilution: |
25-100 |


購(gòu)物車
幫助
021-54845833/15800441009
