|
Background: |
This gene encodes a member of a homeobox transcription factor gene family similiar to the Drosophila distal-less gene. The encoded protein may play a role in bone development and fracture healing. Mutation in this gene, which is located in a tail-to-tail configuration with another member of the family on the long arm of chromosome 7, may be associated with split-hand/split-foot malformation. |
|
Applications: |
WB, IHC |
|
Name of antibody: |
DLX5 |
|
Immunogen: |
Synthesized peptide derived from internal of human DLX5. |
|
Full name: |
distal-less homeobox 5 |
|
Synonyms: |
SHFM1D |
|
SwissProt: |
P56178 |
|
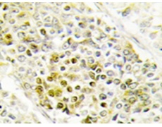
IHC positive control: |
Human lung carcinoma tissue |
|
IHC Recommend dilution: |
50-100 |
|
WB Predicted band size: |
32 kDa |
|
WB Positive control: |
Hela cells, 293 cells and COLO205 cells lysates |
|
WB Recommended dilution: |
500-3000 |

購(gòu)物車
幫助
021-54845833/15800441009
