|
Background: |
DOK proteins are enzymatically inert adaptor or scaffolding proteins. They provide a docking platform for the assembly of multimolecular signaling complexes. DOK4 functions in RET-mediated neurite outgrowth and plays a positive role in activation of the MAP kinase pathway (By similarity). Putative link with downstream effectors of RET in neuronal differentiation. May be involved in the regulation of the immune response induced by T-cells. |
|
Applications: |
ELISA, IHC |
|
Name of antibody: |
DOK4 |
|
Immunogen: |
Full length fusion protein |
|
Full name: |
docking protein 4 |
|
Synonyms: |
IRS5; IRS-5 |
|
SwissProt: |
Q8TEW6 |
|
ELISA Recommended dilution: |
1000-2000 |
|
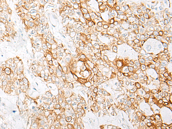
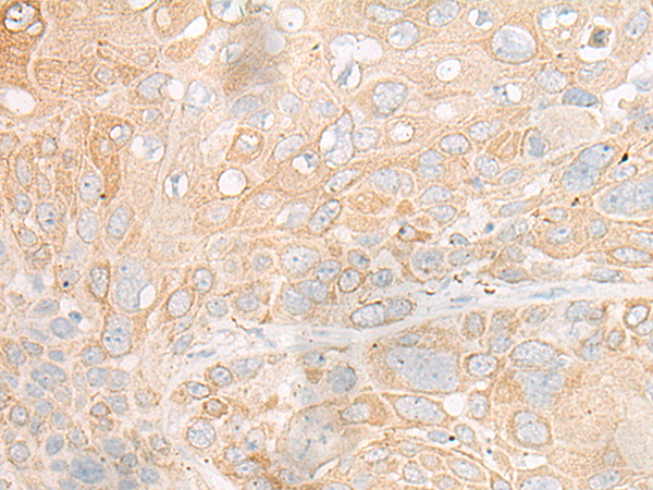
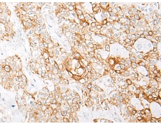
IHC positive control: |
Human esophagus cancer; Human prostate cancer |

購(gòu)物車
幫助
021-54845833/15800441009
