|
Background: |
This gene encodes a member of the D4 protein family. The encoded protein is a transcription regulator that binds acetylated histones and is a component of the BAF chromatin remodeling complex. Alternate splicing results in multiple transcript variants encoding different isoforms. |
|
Applications: |
ELISA, IHC |
|
Name of antibody: |
DPF3 |
|
Immunogen: |
Fusion protein of human DPF3 |
|
Full name: |
double PHD fingers 3 |
|
Synonyms: |
CERD4; BAF45C |
|
SwissProt: |
Q92784 |
|
ELISA Recommended dilution: |
5000-10000 |
|
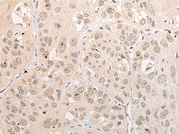
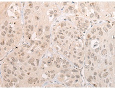
IHC positive control: |
Human esophagus cancer |
|
IHC Recommend dilution: |
20-100 |
購物車
幫助
021-54845833/15800441009
