|
Background: |
The protein encoded by this gene is a glycoprotein and a member of the NADPH oxidase family. The synthesis of thyroid hormone is catalyzed by a protein complex located at the apical membrane of thyroid follicular cells. This complex contains an iodide transporter, thyroperoxidase, and a peroxide generating system that includes this encoded protein and DUOX1. This protein is known as dual oxidase because it has both a peroxidase homology domain and a gp91phox domain. |
|
Applications: |
ELISA, IHC |
|
Name of antibody: |
DUOX2 |
|
Immunogen: |
Synthetic peptide of human DUOX2 |
|
Full name: |
dual oxidase 2 |
|
Synonyms: |
TDH6; LNOX2; THOX2; NOXEF2; P138-TOX |
|
SwissProt: |
Q9NRD8 |
|
ELISA Recommended dilution: |
5000-10000 |
|
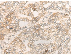
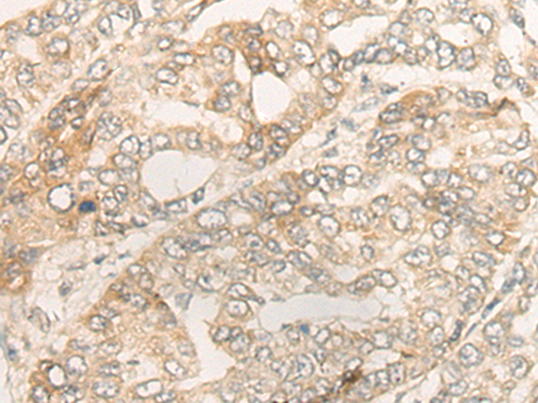
IHC positive control: |
Human liver cancer; |
|
IHC Recommend dilution: |
30-150 |
購物車
幫助
021-54845833/15800441009
