中文名稱: 兔抗DYNLL2多克隆抗體
|
Background: |
Acts as one of several non-catalytic accessory components of the cytoplasmic dynein 1 complex that are thought to be involved in linking dynein to cargos and to adapter proteins that regulate dynein function. Cytoplasmic dynein 1 acts as a motor for the intracellular retrograde motility of vesicles and organelles along microtubules. May play a role in changing or maintaining the spatial distribution of cytoskeletal structures (By similarity). |
|
Applications: |
ELISA, IHC |
|
Name of antibody: |
DYNLL2 |
|
Immunogen: |
Full length fusion protein |
|
Full name: |
dynein, light chain, LC8-type 2 |
|
Synonyms: |
Dlc2; DNCL1B; RSPH22 |
|
SwissProt: |
Q96FJ2 |
|
ELISA Recommended dilution: |
2000-5000 |
|
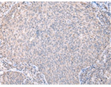
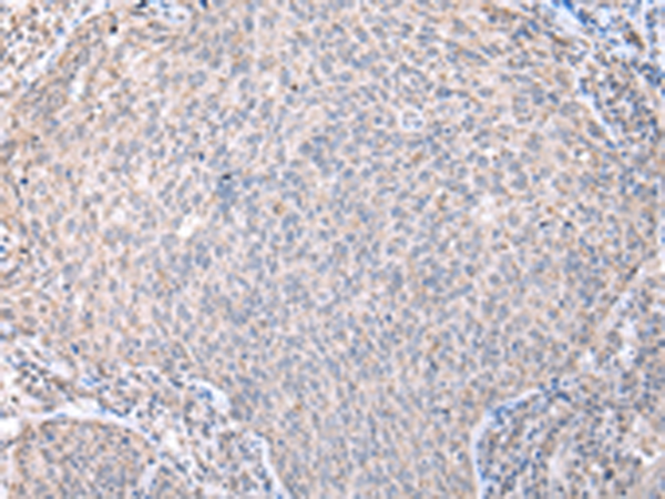
IHC positive control: |
Human cervical cancer |
|
IHC Recommend dilution: |
25-100 |
購物車
幫助
021-54845833/15800441009
