中文名稱(chēng): 兔抗ECD多克隆抗體
|
Background: |
Regulator of p53/TP53 stability and function. Inhibits MDM2-mediated degradation of p53/TP53 possibly by cooperating in part with TXNIP (PubMed:16849563, PubMed:23880345). May be involved transcriptional regulation. In vitro has intrinsic transactivation activity enhanced by EP300. May be a transcriptional activator required for the expression of glycolytic genes (PubMed:19919181, PubMed:9928932). Involved in regulation of cell cycle progression. Proposed to disrupt Rb-E2F binding leading to transcriptional activation of E2F proteins (PubMed:19640839). The cell cycle -regulating function may depend on its RUVBL1-mediated association with the R2TP complex (PubMed:26711270). May play a role in regulation of pre-mRNA splicing (PubMed:24722212). |
|
Applications: |
ELISA, WB, IHC |
|
Name of antibody: |
ECD |
|
Immunogen: |
Fusion protein of human ECD |
|
Full name: |
ecdysoneless cell cycle regulator |
|
Synonyms: |
GCR2; SGT1; HSGT1 |
|
SwissProt: |
O95905 |
|
ELISA Recommended dilution: |
5000-10000 |
|
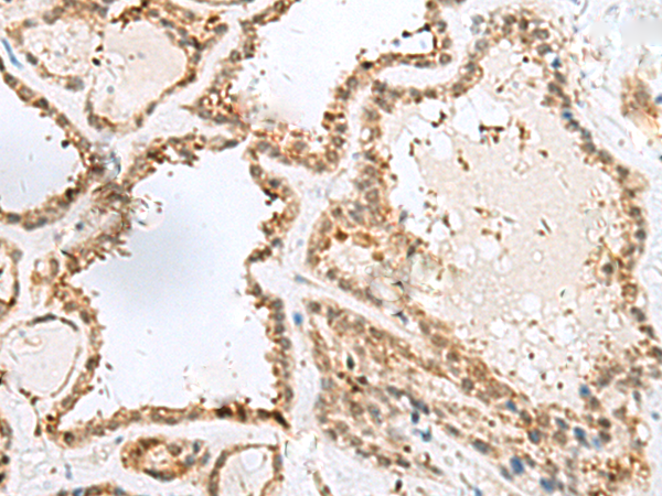
IHC positive control: |
Human cervical cancer and Human thyroid cancer |
|
IHC Recommend dilution: |
25-100 |
|
WB Predicted band size: |
73 kDa |
|
WB Positive control: |
Jurkat and PC3 cell lysates |
|
WB Recommended dilution: |
200-1000 |


購(gòu)物車(chē)
幫助
021-54845833/15800441009
