|
Background: |
This gene encodes an essential eukaryotic translation initiation factor. The protein is required for the binding of the 43S complex (a 40S subunit, eIF2/GTP/Met-tRNAi and eIF3) to the 5' end of capped RNA. |
|
Applications: |
ELISA, IHC |
|
Name of antibody: |
EIF1AX |
|
Immunogen: |
Fusion protein of human EIF1AX |
|
Full name: |
eukaryotic translation initiation factor 1A X-linked |
|
Synonyms: |
EIF1A; EIF4C; eIF-1A; eIF-4C; EIF1AP1 |
|
SwissProt: |
P47813 |
|
ELISA Recommended dilution: |
5000-10000 |
|
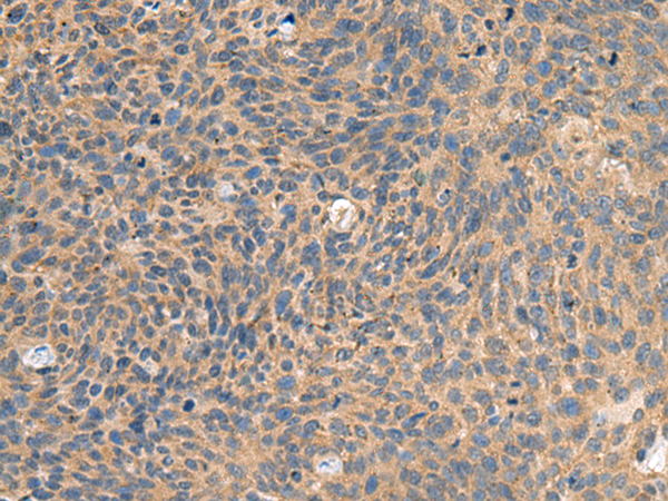
IHC positive control: |
Human liver cancer and Human cervical cancer |
|
IHC Recommend dilution: |
50-200 |

購物車
幫助
021-54845833/15800441009
