|
Background: |
The protein encoded by this gene interacts with the dedicator of cyto-kinesis 1 protein. Similarity to a C. elegans protein suggests that this protein may function in phagocytosis of apoptotic cells and in cell migration. Alternative splicing results in multiple transcript variants. |
|
Applications: |
ELISA, WB, IHC |
|
Name of antibody: |
ELMO2 |
|
Immunogen: |
Synthetic peptide of human ELMO2 |
|
Full name: |
engulfment and cell motility 2 |
|
Synonyms: |
VMPI; CED12; CED-12; ELMO-2; Ced-12A |
|
SwissProt: |
Q96JJ3 |
|
ELISA Recommended dilution: |
5000-10000 |
|
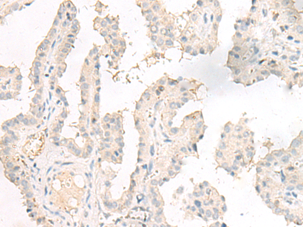
IHC positive control: |
Human esophagus cancer and Human thyroid cancer |
|
IHC Recommend dilution: |
20-100 |
|
WB Predicted band size: |
83 kDa |
|
WB Positive control: |
Human fetal liver tissue lysate |
|
WB Recommended dilution: |
200-1000 |


購物車
幫助
021-54845833/15800441009
