|
Background: |
The exact function of ENKD1 remains unknown. |
|
Applications: |
ELISA, WB, IHC |
|
Name of antibody: |
ENKD1 |
|
Immunogen: |
Fusion protein of human ENKD1 |
|
Full name: |
enkurin domain containing 1 |
|
Synonyms: |
C16orf48; DAKV6410 |
|
SwissProt: |
Q9H0I2 |
|
ELISA Recommended dilution: |
5000-10000 |
|
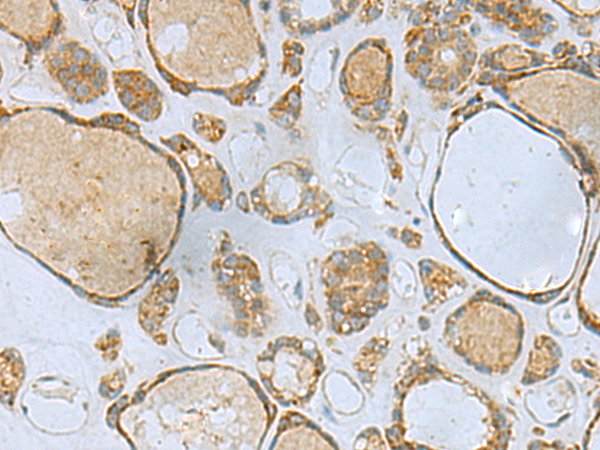
IHC positive control: |
Human thyroid cancer |
|
IHC Recommend dilution: |
50-200 |
|
WB Predicted band size: |
39 kDa |
|
WB Positive control: |
Human cerebrum tissue, Human cerebella tissue, Mouse brain tissue lysates |
|
WB Recommended dilution: |
500-2000 |

購物車
幫助
021-54845833/15800441009
