|
Background: |
NPP4, also known as ENPP4 (ectonucleotide pyrophosphatase/phosphodiesterase family member 4), is a 453 amino acid single-pass type I membrane protein that belongs to the nucleotide pyrophosphatase/phosphodiesterase family. The gene that encodes NPP4 consists of approximately 16,736 bases and maps to human chromosome 6p21.1. Making up nearly 6% of the human genome, chromosome 6 contains around 1,200 genes within 170 million base pairs of sequence. Deletion of a portion of the q arm of chromosome 6 is associated with early onset intestinal cancer suggesting the presence of a cancer susceptibility locus. Porphyria cutanea tarda is associated with chromosome 6 through the HFE gene, and Stickler syndrome, 21-hydroxylase deficiency and maple syrup urine disease are also associated with genes on chromosome 6. Notably, the PARK2 gene, which is associated with Parkinson's disease, and the genes encoding the major histocompatiblity complex proteins are also located on chromosome 6. A bipolar disorder susceptibility locus has been identified on the q arm of chromosome 6. |
|
Applications: |
ELISA, WB, IHC |
|
Name of antibody: |
ENPP4 |
|
Immunogen: |
Synthetic peptide of human ENPP4 |
|
Full name: |
ectonucleotide pyrophosphatase/phosphodiesterase 4 (putative) |
|
Synonyms: |
NPP4 |
|
SwissProt: |
Q9Y6X5 |
|
ELISA Recommended dilution: |
2000-5000 |
|
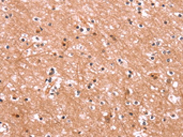
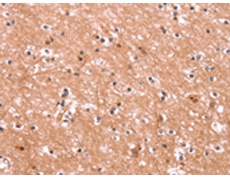
IHC positive control: |
Human brain and Human liver cancer |
|
IHC Recommend dilution: |
25-100 |
|
WB Predicted band size: |
52 kDa |
|
WB Positive control: |
Human endometrial cancer and placenta tissue |
|
WB Recommended dilution: |
500-2000 |

購(gòu)物車
幫助
021-54845833/15800441009
