|
Background: |
Receptor tyrosine kinase which binds promiscuously GPI-anchored ephrin-A family ligands residing on adjacent cells, leading to contact-dependent bidirectional signaling into neighboring cells. The signaling pathway downstream of the receptor is referred to as forward signaling while the signaling pathway downstream of the ephrin ligand is referred to as reverse signaling. |
|
Applications: |
ELISA, WB, IHC |
|
Name of antibody: |
EPHA6 |
|
Immunogen: |
Synthetic peptide of human EPHA6 |
|
Full name: |
EPH receptor A6 |
|
Synonyms: |
EHK2; EK12; EPA6; EHK-2; HEK12; PRO57066 |
|
SwissProt: |
Q9UF33 |
|
ELISA Recommended dilution: |
5000-10000 |
|
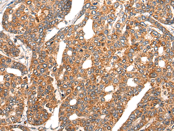
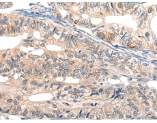
IHC positive control: |
Human liver cancer and Human gastric cancer |
|
IHC Recommend dilution: |
30-150 |
|
WB Predicted band size: |
116 kDa |
|
WB Positive control: |
293T cell, Human testis tissue lysate, A549 cell lysates |
|
WB Recommended dilution: |
500-2000 |


購物車
幫助
021-54845833/15800441009
