|
Background: |
This gene is a member of the peroxidase gene family and is expressed in eosinophils. The encoded precursor protein is processed into covalently attached heavy and light chains to form the mature enzyme, which functions as an oxidant. The enzyme is released at sites of parasitic infection or allergen stimulation to mediate lysis of protozoa or parasitic worms. The gene is found in a cluster of three peroxidase genes at chromosome 17q23. Mutations in this gene result in eosinophil peroxidase deficiency. |
|
Applications: |
ELISA, IHC |
|
Name of antibody: |
EPX |
|
Immunogen: |
Synthetic peptide of human EPX |
|
Full name: |
eosinophil peroxidase |
|
Synonyms: |
EPO; EPP; EPXD; EPX-PEN |
|
SwissProt: |
P11678 |
|
ELISA Recommended dilution: |
500-1000 |
|
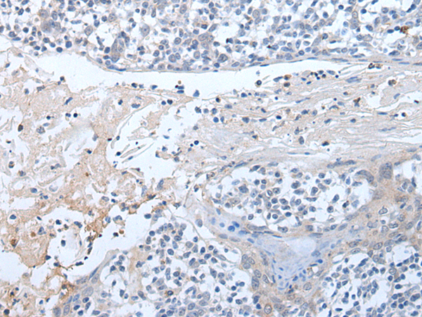
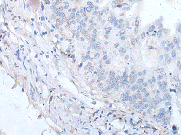
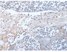
IHC positive control: |
Human colorectal cancer and human tonsil |
|
IHC Recommend dilution: |
20-100 |

購物車
幫助
021-54845833/15800441009
