|
Background: |
Within the ovary, required for the organization of somatic cells and oocytes into discrete follicular structures. |
|
Applications: |
ELISA, IHC |
|
Name of antibody: |
ERMP1 |
|
Immunogen: |
Fusion protein of human ERMP1 |
|
Full name: |
endoplasmic reticulum metallopeptidase 1 |
|
Synonyms: |
FXNA; KIAA1815; bA207C16.3 |
|
SwissProt: |
Q7Z2K6 |
|
ELISA Recommended dilution: |
5000-10000 |
|
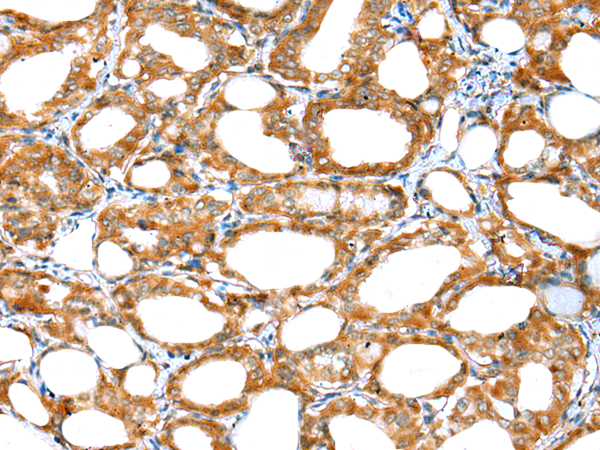
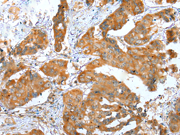
IHC positive control: |
Human breast cancer and human thyroid cancer |
|
IHC Recommend dilution: |
25-100 |

購物車
幫助
021-54845833/15800441009
