|
Background: |
FAM91A1 (family with sequence similarity 91, member A1) is a 94 kDa phospho-protein that is not yet characterized. |
|
Applications: |
ELISA, IHC |
|
Name of antibody: |
FAM91A1 |
|
Immunogen: |
Synthetic peptide of human FAM91A1 |
|
Full name: |
family with sequence similarity 91 member A1 |
|
SwissProt: |
Q658Y4 |
|
ELISA Recommended dilution: |
5000-10000 |
|
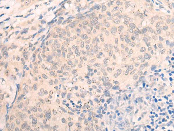
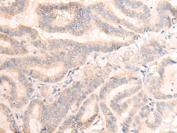
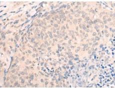
IHC positive control: |
Human thyroid cancer and Human cervical cancer |
|
IHC Recommend dilution: |
30-150 |

購物車
幫助
021-54845833/15800441009
