中文名稱: 兔抗UNC5B多克隆抗體
|
Background: |
This gene encodes a member of the netrin family of receptors. This particular protein mediates the repulsive effect of netrin-1 and is a vascular netrin receptor. This encoded protein is also in a group of proteins called dependence receptors (DpRs) which are involved in pro- and anti-apoptotic processes. Many DpRs are involved in embryogenesis and in cancer progression. Two alternatively spliced transcript variants have been described for this gene. |
|
Applications: |
ELISA, IHC |
|
Name of antibody: |
UNC5B |
|
Immunogen: |
Synthetic peptide of human UNC5B |
|
Full name: |
unc-5 netrin receptor B |
|
Synonyms: |
UNC5H2; p53RDL1 |
|
SwissProt: |
Q8IZJ1 |
|
ELISA Recommended dilution: |
5000-10000 |
|
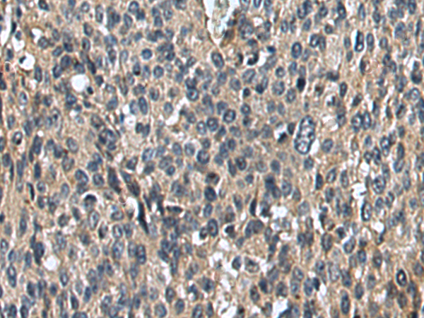
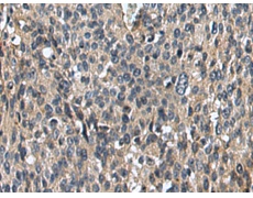
IHC positive control: |
Human ovarian cancer and Human colorectal cancer |
|
IHC Recommend dilution: |
25-100 |
購(gòu)物車
幫助
021-54845833/15800441009
