Background:
This gene belongs to the forkhead family of transcription factors, which is characterized by a distinct forkhead domain. This gene may play an important role in the development of the cochlea and vestibulum, as well as in embryogenesis. The encoded protein has been found to be required for the transcription of four subunits of a proton pump found in the inner ear, the kidney, and the epididymis. Mutations in this gene have been associated with deafness, autosomal recessive 4.
Applications:
ELISA, WB, IHC
Name of antibody:
FOXI1
Immunogen:
Synthetic peptide of human FOXI1
Full name:
forkhead box I1
Synonyms:
HFH3; FKH10; HFH-3; FKHL10; FREAC6; FREAC-6
SwissProt:
Q12951
ELISA Recommended dilution:
5000-10000
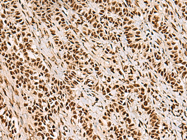
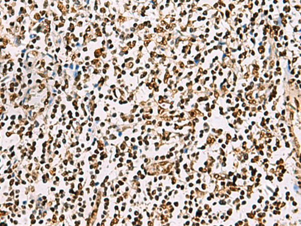
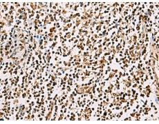
IHC positive control:
Human ovarian cancer and Human tonsil
IHC Recommend dilution:
50-200
WB Predicted band size:
41 kDa
WB Positive control:
Human heart tissue lysate
WB Recommended dilution:
500-2000

購(gòu)物車
幫助
021-54845833/15800441009
