Background:
This gene encodes a centrosome associated protein that is characterized by an N-terminal coiled-coil region downstream of B-box (BBC) domain, a central fibronectin type III domain, and a C-terminal repeats in splA and RyR (SPRY) domain. The encoded protein associates with a subset of microtubules and may be involved in the stability and organization of microtubules during cytokinesis.
Applications:
ELISA, WB, IHC
Name of antibody:
FSD1
Immunogen:
Fusion protein of human FSD1
Full name:
fibronectin type III and SPRY domain containing 1
Synonyms:
MIR1; GLFND
SwissProt:
Q9BTV5
ELISA Recommended dilution:
2000-5000
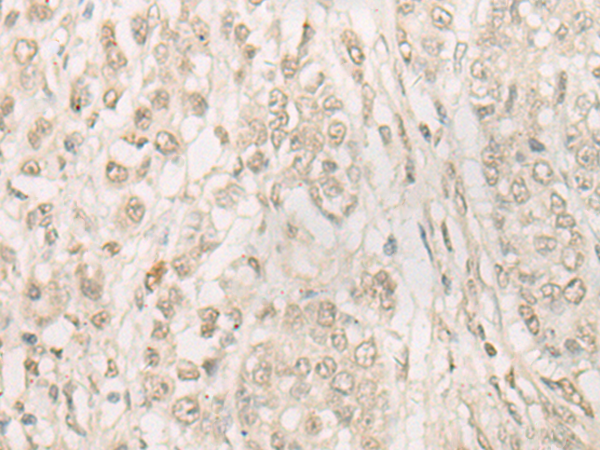
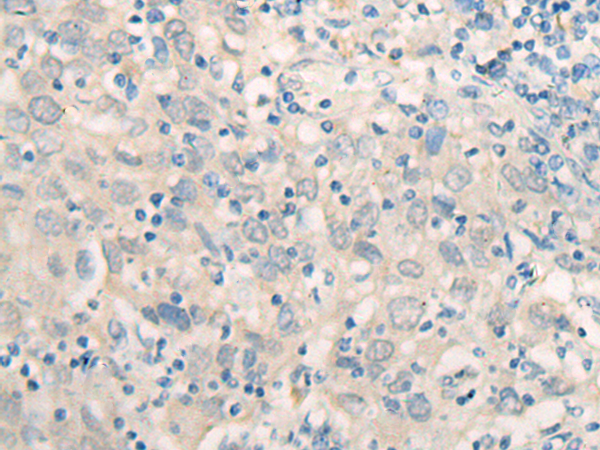
IHC positive control:
Human cervical cancer and Human colorectal cancer
IHC Recommend dilution:
20-100
WB Predicted band size:
56 kDa
WB Positive control:
SP20 cell lysate
WB Recommended dilution:
200-1000


購物車
幫助
021-54845833/15800441009
