|
Background: |
This gene encodes an enzyme that catalyzes the irreversible and NADPH-dependent reductive deamination of GMP to IMP. The protein also functions in the re-utilization of free intracellular bases and purine nucleosides. |
|
Applications: |
ELISA, IHC |
|
Name of antibody: |
GMPR |
|
Immunogen: |
Fusion protein of human GMPR |
|
Full name: |
guanosine monophosphate reductase |
|
Synonyms: |
GMPR1; GMPR 1 |
|
SwissProt: |
P36959 |
|
ELISA Recommended dilution: |
5000-10000 |
|
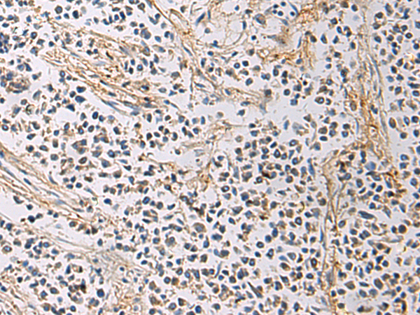
IHC positive control: |
Human breast cancer |
|
IHC Recommend dilution: |
50-100 |

購物車
幫助
021-54845833/15800441009
