|
Background: |
This gene encodes an enzyme located in the peroxisomal membrane which is essential to the synthesis of ether phospholipids. Mutations in this gene are associated with rhizomelic chondrodysplasia punctata. |
|
Applications: |
ELISA, IHC |
|
Name of antibody: |
GNPAT |
|
Immunogen: |
Synthetic peptide of human GNPAT |
|
Full name: |
glyceronephosphate O-acyltransferase |
|
Synonyms: |
DAPAT; DAP-AT; DHAPAT |
|
SwissProt: |
O15228 |
|
ELISA Recommended dilution: |
2000-5000 |
|
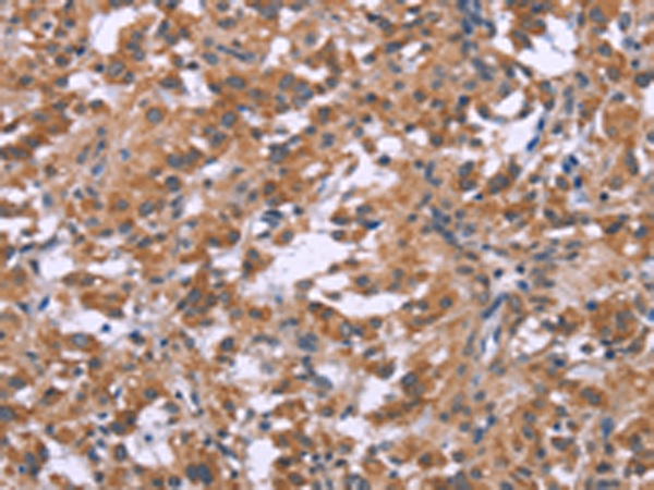
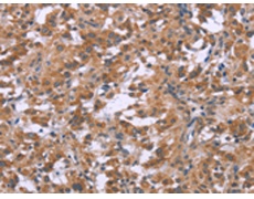
IHC positive control: |
Human thyroid cancer and Human cervical cancer |
|
IHC Recommend dilution: |
50-200 |

購(gòu)物車
幫助
021-54845833/15800441009
