中文名稱: 兔抗UPP2多克隆抗體
|
Background: |
Catalyzes the reversible phosphorylytic cleavage of uridine and deoxyuridine to uracil and ribose- or deoxyribose-1-phosphate. The produced molecules are then utilized as carbon and energy sources or in the rescue of pyrimidine bases for nucleotide synthesis. Shows substrate specificity and accept uridine, deoxyuridine, and thymidine as well as the two pyrimidine nucleoside analogs 5-fluorouridine and 5-fluoro-2(')-deoxyuridine as substrates. |
|
Applications: |
ELISA, WB, IHC |
|
Name of antibody: |
UPP2 |
|
Immunogen: |
Synthetic peptide of humanUPP2 |
|
Full name: |
uridine phosphorylase 2 |
|
Synonyms: |
UP2; UPASE2; UDRPASE2 |
|
SwissProt: |
O95045 |
|
ELISA Recommended dilution: |
1000-2000 |
|
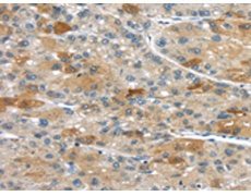
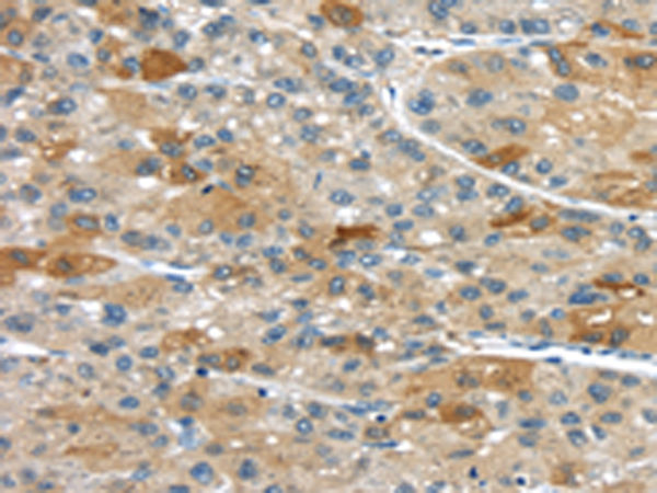
IHC positive control: |
Human liver cancer and Human breast cancer |
|
IHC Recommend dilution: |
30-150 |
|
WB Predicted band size: |
36 kDa |
|
WB Positive control: |
Mouse kidney tissue |
|
WB Recommended dilution: |
200-1000 |

購物車
幫助
021-54845833/15800441009
