|
Background: |
May be involved in the negative regulation of skeletal muscle differentiation, independently of its glycerophosphocholine phosphodiesterase activity. |
|
Applications: |
ELISA, WB, IHC |
|
Name of antibody: |
GPCPD1 |
|
Immunogen: |
Fusion protein of human GPCPD1 |
|
Full name: |
glycerophosphocholine phosphodiesterase 1 |
|
Synonyms: |
EDI3; GDE5; GDPD6; PREI4 |
|
SwissProt: |
Q9NPB8 |
|
ELISA Recommended dilution: |
5000-10000 |
|
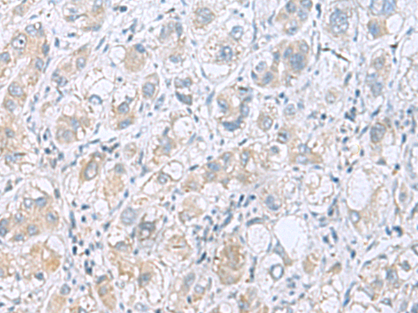
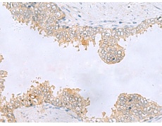
IHC positive control: |
Human liver cancer and Human prostate cancer |
|
IHC Recommend dilution: |
50-100 |
|
WB Predicted band size: |
76 kDa |
|
WB Positive control: |
A549 cell lysate |
|
WB Recommended dilution: |
500-2000 |


購物車
幫助
021-54845833/15800441009
