中文名稱: 兔抗ANXA10多克隆抗體
|
Background: |
This gene encodes a member of the annexin family. Members of this calcium-dependent phospholipid-binding protein family play a role in the regulation of cellular growth and in signal transduction pathways. The function of this gene has not yet been determined. |
|
Applications: |
ELISA, WB, IHC |
|
Name of antibody: |
ANXA10 |
|
Immunogen: |
Full length fusion protein |
|
Full name: |
annexin A10 |
|
Synonyms: |
ANX14 |
|
SwissProt: |
Q9UJ72 |
|
ELISA Recommended dilution: |
1000-2000 |
|
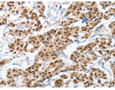
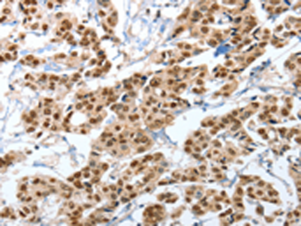
IHC positive control: |
Human breast cancer and Human liver cancer |
|
IHC Recommend dilution: |
50-200 |
|
WB Predicted band size: |
37 kDa |
|
WB Positive control: |
A431 cell |
|
WB Recommended dilution: |
200-1000 |
購物車
幫助
021-54845833/15800441009
