|
Background: |
This gene encodes a multi-pass membrane protein that localizes to the endoplasmic reticulum and a member of the G-protein coupled receptor 1 family. This receptor binds estrogen and activates multiple downstream signaling pathways, leading to stimulation of adenylate cyclase and an increase in cyclic AMP levels, while also promoting intracellular calcium mobilization and synthesis of phosphatidylinositol 3,4,5-trisphosphate in the nucleus. This protein therefore plays a role in the rapid nongenomic signaling events widely observed following stimulation of cells and tissues with estrogen. This receptor has been shown to play a role in diverse biological processes, including bone and nervous system development, metabolism, cognition, male fertility and uterine function. |
|
Applications: |
ELISA, IHC |
|
Name of antibody: |
GPER1 |
|
Immunogen: |
Synthetic peptide of human GPER1 |
|
Full name: |
G protein-coupled estrogen receptor 1 |
|
Synonyms: |
mER; CEPR; GPER; DRY12; FEG-1; GPR30; LERGU; LyGPR; CMKRL2; LERGU2; GPCR-Br |
|
SwissProt: |
Q99527 |
|
ELISA Recommended dilution: |
5000-10000 |
|
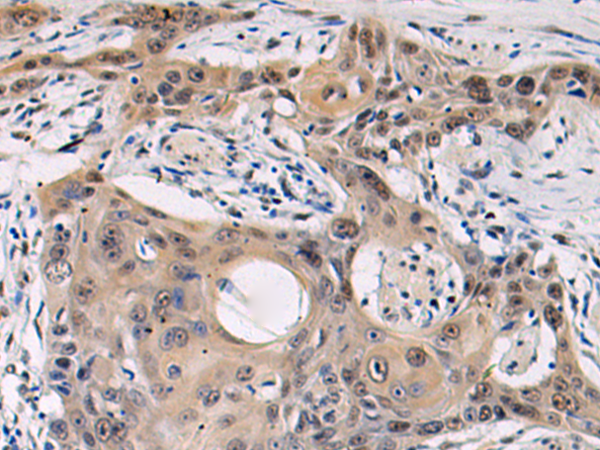
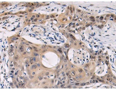
IHC positive control: |
Human esophagus cancer |
|
IHC Recommend dilution: |
25-50 |

購物車
幫助
021-54845833/15800441009
