|
Background: |
Receptor for the inflammation-associated leukocyte chemoattractant chemerin/RARRES2 suggesting a role for this receptor in the regulation of inflammation. Can act as a coreceptor for HIV-1. |
|
Applications: |
ELISA, WB, IHC |
|
Name of antibody: |
GPR1 |
|
Immunogen: |
Synthetic peptide of human GPR1 |
|
Full name: |
G protein-coupled receptor 1 |
|
SwissProt: |
P46091 |
|
ELISA Recommended dilution: |
5000-10000 |
|
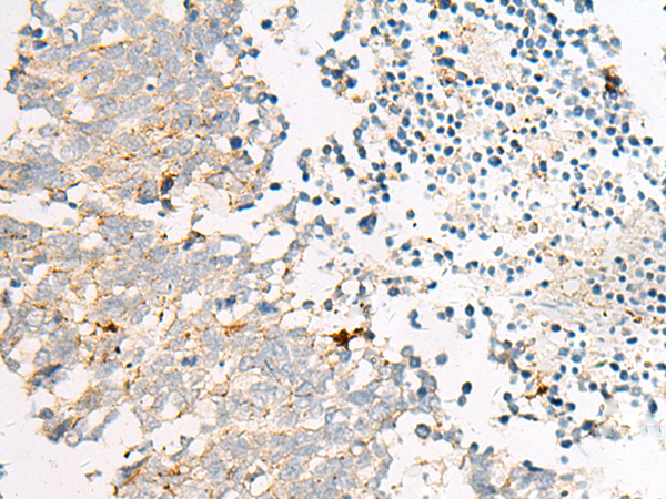
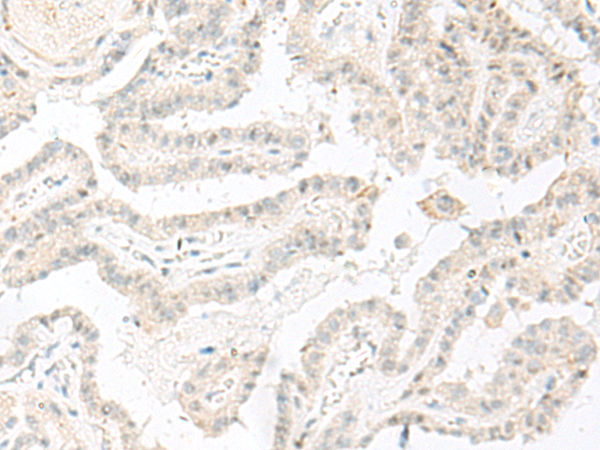
IHC positive control: |
Human lung cancer and Human thyroid cancer |
|
IHC Recommend dilution: |
20-100 |
|
WB Predicted band size: |
41 kDa |
|
WB Positive control: |
Hela cell lysate |
|
WB Recommended dilution: |
200-1000 |


購(gòu)物車(chē)
幫助
021-54845833/15800441009
