|
Background: |
USP3 (ubiquitin specific peptidase 3), also known as UBP or SIH003, is a 520 amino acid protein that contains one UBP-type zinc finger and belongs to the peptidase C19 family. Expressed ubiquitously with highest levels present in pancreas, USP3 catalyzes the conversion of a ubiquitin C-terminal thioester to a free ubiquitin and a thiol. The gene encoding USP3 maps to human chromosome 15, which houses over 700 genes and comprises nearly 3% of the human genome. |
|
Applications: |
ELISA, IHC |
|
Name of antibody: |
USP3 |
|
Immunogen: |
Fusion protein of human USP3 |
|
Full name: |
ubiquitin specific peptidase 3 |
|
Synonyms: |
UBP; SIH003 |
|
SwissProt: |
Q9Y6I4 |
|
ELISA Recommended dilution: |
5000-10000 |
|
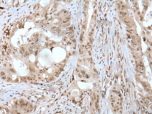
IHC positive control: |
Human thyroid cancer and human gastric cancer |
|
IHC Recommend dilution: |
20-100 |

購物車
幫助
021-54845833/15800441009
