中文名稱: 兔抗MAGEA4多克隆抗體
|
Background: |
This gene is a member of the MAGEA gene family. The members of this family encode proteins with 50 to 80% sequence identity to each other. The promoters and first exons of the MAGEA genes show considerable variability, suggesting that the existence of this gene family enables the same function to be expressed under different transcriptional controls. The MAGEA genes are clustered at chromosomal location Xq28. They have been implicated in some hereditary disorders, such as dyskeratosis congenita. At least four variants encoding the same protein have been found for this gene. |
|
Applications: |
ELISA, IHC |
|
Name of antibody: |
MAGEA4 |
|
Immunogen: |
Fusion protein of human MAGEA4 |
|
Full name: |
Melanoma-associated antigen 4 |
|
Synonyms: |
CT1.4, MAGE-41, MAGE-X2, MAGE4, MAGE4A, MAGE4B, MGC21336 |
|
SwissProt: |
P43358 |
|
ELISA Recommended dilution: |
1000-5000 |
|
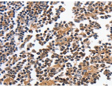
IHC positive control: |
Human tonsil |
|
IHC Recommend dilution: |
25-100 |
購物車
幫助
021-54845833/15800441009
