|
Background: |
The protein encoded by this gene associates with stem loop IV of U2 small nuclear ribonucleoprotein (U2 snRNP) in the presence of snRNP-A'. The encoded protein may play a role in pre-mRNA splicing. Autoantibodies from patients with systemic lupus erythematosus frequently recognize epitopes on the encoded protein. Two transcript variants encoding the same protein have been found for this gene. |
|
Applications: |
ELISA, WB, IHC |
|
Name of antibody: |
SNRPB2 |
|
Immunogen: |
Fusion protein of human SNRPB2 |
|
Full name: |
small nuclear ribonucleoprotein polypeptide B2 |
|
Synonyms: |
Msl1; U2B'' |
|
SwissProt: |
P08579 |
|
ELISA Recommended dilution: |
5000-10000 |
|
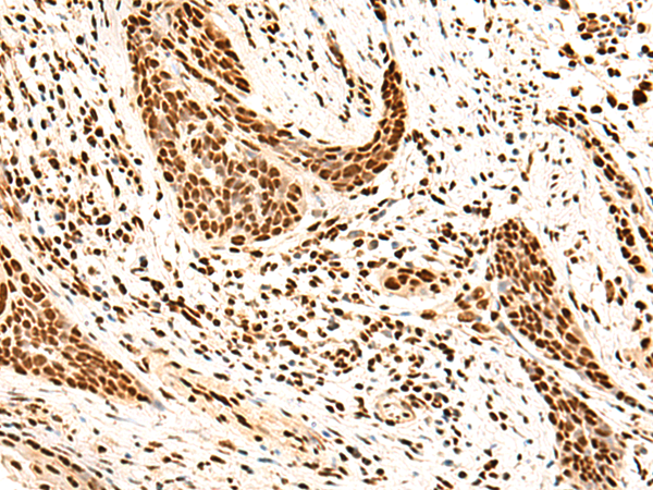
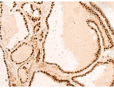
IHC positive control: |
Human esophagus cancer and Human thyroid cancer |
|
IHC Recommend dilution: |
50-300 |
|
WB Predicted band size: |
25 kDa |
|
WB Positive control: |
Hela and K562 cell lysates |
|
WB Recommended dilution: |
1000-5000 |


購物車
幫助
021-54845833/15800441009
