|
Background: |
This gene encodes a member of the SOX (SRY-related HMG-box) family of transcription factors involved in the regulation of embryonic development and in the determination of the cell fate. The encoded protein may act as a transcriptional activator after forming a protein complex with other proteins. This protein may be involved in brain development and function. Haploinsufficiency for this protein may contribute to the cognitive disability found in an alpha-thalassemia-related syndrome (ART-16). This protein is also highly expressed in the majority of human hepatocellular carcinomas and promotes cellular proliferation and enhanced tumor growth. |
|
Applications: |
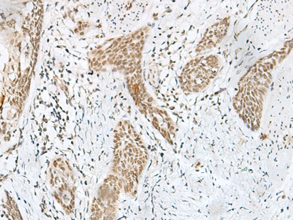
ELISA, IHC |
|
Name of antibody: |
SOX8 |
|
Immunogen: |
Synthetic peptide of human SOX8 |
|
Full name: |
SRY-box 8 |
|
SwissProt: |
P57073 |
|
ELISA Recommended dilution: |
5000-10000 |
|
IHC positive control: |
Human esophagus cancer |
|
IHC Recommend dilution: |
20-100 |
購物車
幫助
021-54845833/15800441009
