|
Background: |
his gene encodes a member of glycosyltransferase family 29. The encoded protein is a type II membrane protein that catalyzes the transfer of sialic acid from CMP-sialic acid to galactose-containing substrates. The protein, which is normally found in the Golgi but can be proteolytically processed to a soluble form, is involved in the generation of the cell-surface carbohydrate determinants and differentiation antigens HB-6, CD75, and CD76. This gene has been incorrectly referred to as CD75. Three transcript variants encoding two different isoforms have been described. |
|
Applications: |
WB, IHC |
|
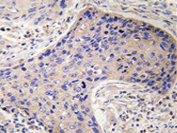
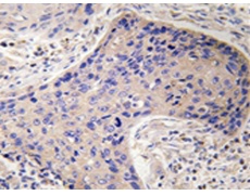
Name of antibody: |
ST6GAL1 |
|
Immunogen: |
Synthesized peptide derived from internal of human ST6GAL1. |
|
Full name: |
ST6 beta-galactosamide alpha-2,6-sialyltranferase 1 |
|
Synonyms: |
ST6N; SIAT1; ST6GalI |
|
SwissProt: |
P15907 |
|
IHC positive control: |
Human prostate carcinoma tissue |
|
IHC Recommend dilution: |
50-100 |
|
WB Predicted band size: |
47 kDa |
|
WB Positive control: |
RAW264.7 cells lysate |
|
WB Recommended dilution: |
500-3000 |

購物車
幫助
021-54845833/15800441009
