|
Background: |
General coactivator that functions cooperatively with TAFs and mediates functional interactions between upstream activators and the general transcriptional machinery. May be involved in stabilizing the multiprotein transcription complex. Binds single-stranded DNA. Also binds, in vitro, non-specifically to double-stranded DNA (ds DNA). |
|
Applications: |
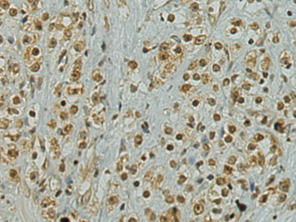
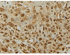
ELISA, IHC |
|
Name of antibody: |
SUB1 |
|
Immunogen: |
Fusion protein of human SUB1 |
|
Full name: |
SUB1 regulator of transcription |
|
Synonyms: |
P15; PC4; p14 |
|
SwissProt: |
P53999 |
|
ELISA Recommended dilution: |
5000-10000 |
|
IHC positive control: |
Human prostate cancer and Human esophagus cancer |
|
IHC Recommend dilution: |
100-200 |

購物車
幫助
021-54845833/15800441009
