|
Background: |
TCERG1L (transcription elongation regulator 1-like protein) is a 586 amino acid protein that contains two FF domains and two WW domains. The gene that encodes TCERG1L contains just over 219,000 bases and maps to human chromosome 10q26.3. Spanning nearly 135 million base pairs and encoding nearly 1,200 genes, chromosome 10 makes up approximately 4.5% of the human genome. Several protein-coding genes, including those that encode chemokines, cadherins, excision repair proteins, early growth response factors (Egrs) and fibroblast growth receptors (FGFRs), are located on chromosome 10. |
|
Applications: |
ELISA, IHC |
|
Name of antibody: |
TCERG1L |
|
Immunogen: |
Synthetic peptide of human TCERG1L |
|
Full name: |
transcription elongation regulator 1-like |
|
SwissProt: |
Q5VWI1 |
|
ELISA Recommended dilution: |
2000-5000 |
|
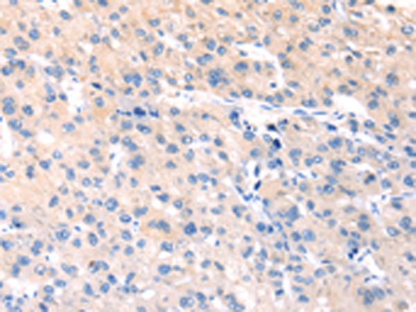
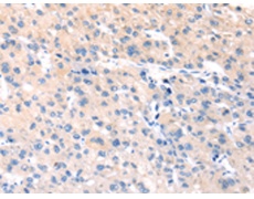
IHC positive control: |
Human liver cancer |
|
IHC Recommend dilution: |
25-100 |
購(gòu)物車
幫助
021-54845833/15800441009
