|
Background: |
Structural component of ciliary and flagellar microtubules. Forms filamentous polymers in the walls of ciliary and flagellar microtubules. Found in the abaxial (convex) surface of outer dense fibers in sperm flagella. TEKT4 is necessary for the proper coordinated beating of the sperm flagellum and male reproductive physiology. |
|
Applications: |
ELISA, IHC |
|
Name of antibody: |
TEKT4 |
|
Immunogen: |
Fusion protein of human TEKT4 |
|
Full name: |
tektin 4 |
|
SwissProt: |
Q8WW24 |
|
ELISA Recommended dilution: |
1000-2000 |
|
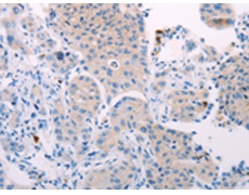
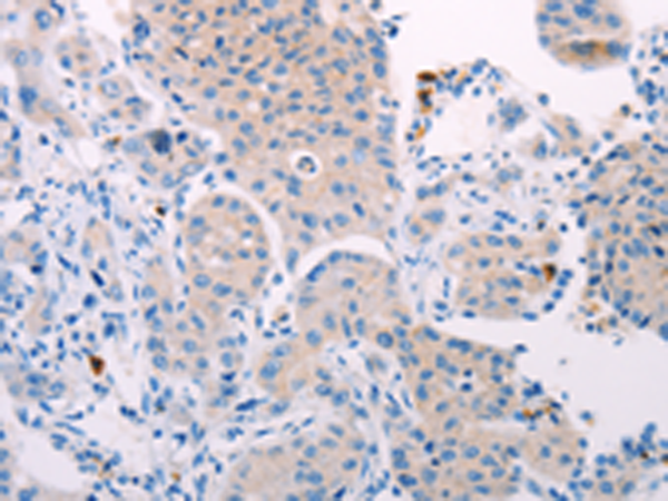
IHC positive control: |
Human lung cancer |
|
IHC Recommend dilution: |
5-20 |
購物車
幫助
021-54845833/15800441009
