|
Background: |
This gene is a member of the family of dihydroxyacetone kinases, which have a protein structure distinct from other kinases. The product of this gene phosphorylates dihydroxyacetone, and also catalyzes the formation of riboflavin 4',5'-phosphate (aka cyclin FMN) from FAD. Several alternatively spliced transcript variants have been identified, but the full-length nature of only one has been determined. |
|
Applications: |
ELISA, WB, IHC |
|
Name of antibody: |
TKFC |
|
Immunogen: |
Fusion protein of human TKFC |
|
Full name: |
triokinase and FMN cyclase |
|
Synonyms: |
DAK; NET45 |
|
SwissProt: |
Q3LXA3 |
|
ELISA Recommended dilution: |
5000-10000 |
|
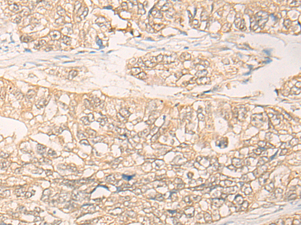
IHC positive control: |
Human gastric cancer |
|
IHC Recommend dilution: |
30-150 |
|
WB Predicted band size: |
59 kDa |
|
WB Positive control: |
Hela, A549 and 823 cell lysates |
|
WB Recommended dilution: |
500-2000 |

購物車
幫助
021-54845833/15800441009
