|
Background: |
This gene encodes a trypsin-like serine protease released from the submucosal serous glands onto mucous membrane. It is a type II integral membrane protein and has 29-38% identity in the sequence of the catalytic region with human hepsin, enteropeptidase, acrosin, and mast cell tryptase. The noncatalytic region has little similarity to other known proteins. This protein may play some biological role in the host defense system on the mucous membrane independently of or in cooperation with other substances in airway mucous or bronchial secretions. |
|
Applications: |
ELISA, WB, IHC |
|
Name of antibody: |
TMPRSS11D |
|
Immunogen: |
Fusion protein of human TMPRSS11D |
|
Full name: |
transmembrane serine protease 11D |
|
Synonyms: |
HAT |
|
SwissProt: |
O60235 |
|
ELISA Recommended dilution: |
5000-10000 |
|
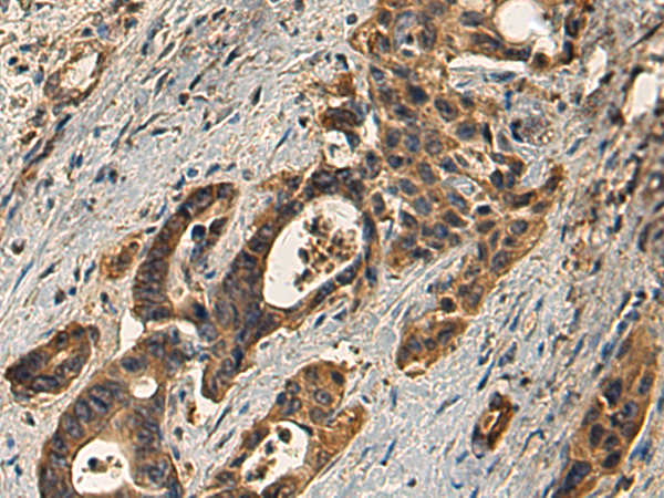
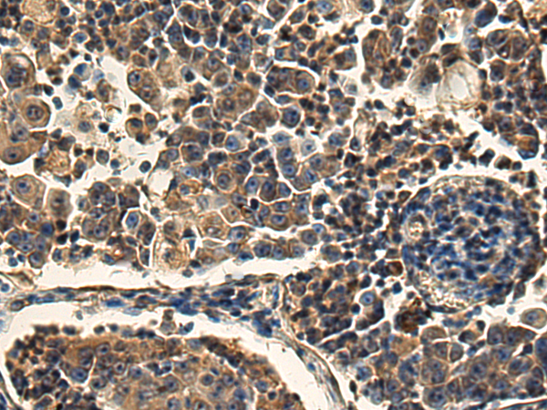
IHC positive control: |
Human lung cancer and Human liver cancer |
|
IHC Recommend dilution: |
100-300 |
|
WB Predicted band size: |
46 kDa |
|
WB Positive control: |
Rat liver tissue lysate |
|
WB Recommended dilution: |
1000-5000 |


購物車
幫助
021-54845833/15800441009
