|
Background: |
This gene encodes a member of the tretraspanin family. The encoded protein may be involved in mediating intestinal trefoil factor induced wound healing in the intestinal mucosa. Mutations in this gene are associated with neural tube defects. Alternate splicing results in multiple transcript variants. Interacts through its C-terminal region with the N-terminal half of DVL1, DVL2 and DVL3. The PDZ domain of DVL1, DVL2 and DVL3 is required for the interaction. |
|
Applications: |
ELISA, WB, IHC |
|
Name of antibody: |
VANGL1 |
|
Immunogen: |
Fusion protein of human VANGL1 |
|
Full name: |
VANGL planar cell polarity protein 1 |
|
Synonyms: |
LPP2; STB2; STBM2; KITENIN |
|
SwissProt: |
Q8TAA9 |
|
ELISA Recommended dilution: |
1000-2000 |
|
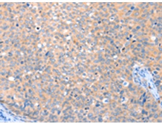
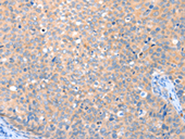
IHC positive control: |
Human cervical cancer and human thyroid cancer |
|
IHC Recommend dilution: |
25-100 |
|
WB Predicted band size: |
60 kDa |
|
WB Positive control: |
Hela cells |
|
WB Recommended dilution: |
200-1000 |

購物車
幫助
021-54845833/15800441009
