|
Background: |
It is the genetic home for a number of immunoglobulin superfamily members including the killer cell and leukocyte Ig-like receptors, a number of ICAMs, the CEACAM and PSG family, and Fc receptors. Key genes for eye color and hair color also map to chromosome 19. Peutz-Jeghers syndrome, spinocerebellar ataxia type 6, the stroke disorder CADASIL, hypercholesterolemia and insulin-dependent diabetes have been linked to chromosome 19. Translocations with chromosome 19 and chromosome 14 can be seen in some lymphoproliferative disorders and typically involve the proto-oncogene BCL3. The LOC147645 gene product has been provisionally designated LOC147645 pending further characterization. |
|
Applications: |
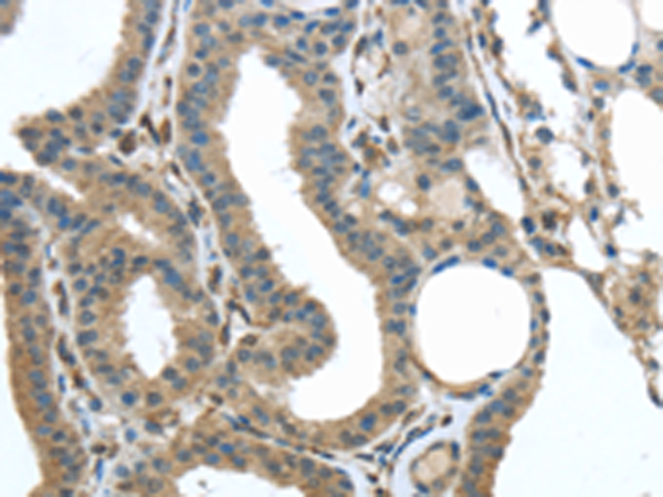
ELISA, IHC |
|
Name of antibody: |
VSIG10 |
|
Immunogen: |
Synthetic peptide of humanVSIG10 |
|
Full name: |
V-set and immunoglobulin domain containing 10 |
|
SwissProt: |
Q8N0Z9 |
|
ELISA Recommended dilution: |
2000-5000 |
|
IHC positive control: |
Human thyroid cancer and Human esophagus cancer |
|
IHC Recommend dilution: |
25-100 |
購物車
幫助
021-54845833/15800441009
