中文名稱:兔抗ARMCX2多克隆抗體
|
Background: |
This gene encodes a protein containing a potential N-terminal transmembrane domain and multiple armadillo (arm) repeats. Proteins containing arm repeats are involved in development, maintenance of tissue integrity, and tumorigenesis. This gene is located in a cluster of related genes on chromosome X. There is a pseudogene for this gene on chromosome 7. Alternative splicing in the 5' UTR results in multiple transcript variants encoding the same protein. |
|
Applications: |
ELISA, WB, IHC |
|
Name of antibody: |
ARMCX2 |
|
Immunogen: |
Fusion protein of human ARMCX2 |
|
Full name: |
armadillo repeat containing, X-linked 2 |
|
Synonyms: |
ALEX2 |
|
SwissProt: |
Q7L311 |
|
ELISA Recommended dilution: |
2000-5000 |
|
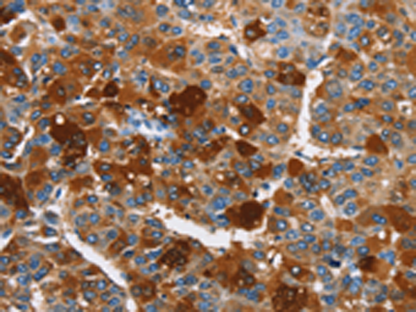
IHC positive control: |
Human liver cancer and human thyroid cancer |
|
IHC Recommend dilution: |
50-200 |
|
WB Predicted band size: |
66 kDa |
|
WB Positive control: |
Mouse testis tissue |
|
WB Recommended dilution: |
500-2000 |
購物車
幫助
021-54845833/15800441009
