中文名稱:兔抗ATF4多克隆抗體
|
Background: |
This gene encodes a transcription factor that was originally identified as a widely expressed mammalian DNA binding protein that could bind a tax-responsive enhancer element in the LTR of HTLV-1. The encoded protein was also isolated and characterized as the cAMP-response element binding protein 2 (CREB-2). The protein encoded by this gene belongs to a family of DNA-binding proteins that includes the AP-1 family of transcription factors, cAMP-response element binding proteins (CREBs) and CREB-like proteins. These transcription factors share a leucine zipper region that is involved in protein-protein interactions, located C-terminal to a stretch of basic amino acids that functions as a DNA binding domain. |
|
Applications: |
ELISA, IHC |
|
Name of antibody: |
ATF4 |
|
Immunogen: |
Fusion protein of human ATF4 |
|
Full name: |
activating transcription factor 4 |
|
Synonyms: |
CREB2; TXREB; CREB-2; TAXREB67 |
|
SwissProt: |
P18848 |
|
ELISA Recommended dilution: |
1000-5000 |
|
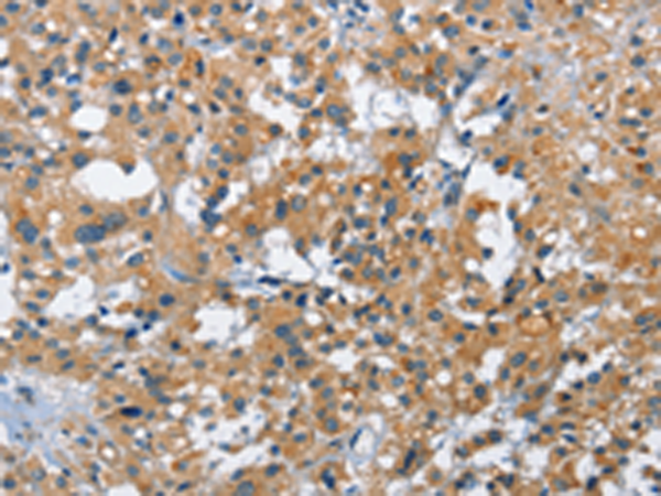
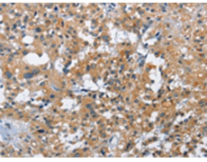
IHC positive control: |
Human thyroid cancer and human liver cancer |
|
IHC Recommend dilution: |
50-200 |

購物車
幫助
021-54845833/15800441009
