中文名稱:兔抗B4GAT1多克隆抗體
|
Background: |
This gene encodes a member of the beta-1,3-N-acetylglucosaminyltransferase family. This enzyme is a type II transmembrane protein. It is essential for the synthesis of poly-N-acetyllactosamine, a determinant for the blood group i antigen. |
|
Applications: |
ELISA, WB, IHC |
|
Name of antibody: |
B4GAT1 |
|
Immunogen: |
Synthetic peptide of human B4GAT1 |
|
Full name: |
beta-1,4-glucuronyltransferase 1 |
|
Synonyms: |
iGAT; iGNT; B3GNT1; B3GNT6; B3GN-T1; MDDGA13; BETA3GNTI |
|
SwissProt: |
O43505 |
|
ELISA Recommended dilution: |
5000-10000 |
|
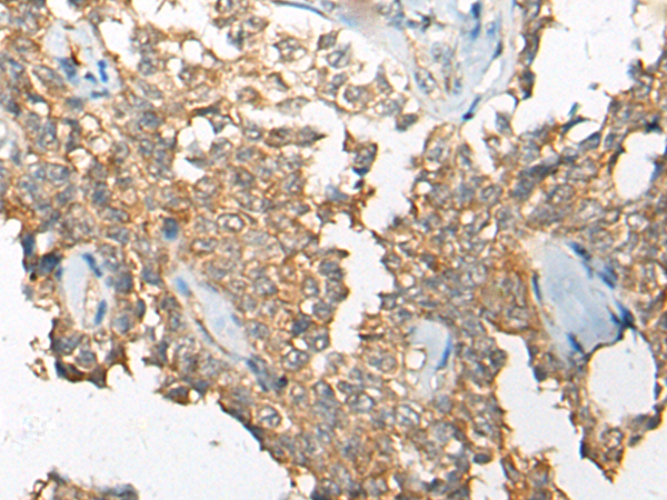
IHC positive control: |
Human ovarian cancer |
|
IHC Recommend dilution: |
20-100 |
|
WB Predicted band size: |
47 kDa |
|
WB Positive control: |
Mouse brain tissue lysate |
|
WB Recommended dilution: |
200-1000 |


購(gòu)物車
幫助
021-54845833/15800441009
