中文名稱 : 兔抗ZDHHC5多克隆抗體
|
Background: |
Palmitoyl acyltransferase for the G-protein coupled receptor SSTR5. Also palmitoylates FLOT2. |
|
Applications: |
ELISA, WB, IHC |
|
Name of antibody: |
ZDHHC5 |
|
Immunogen: |
Synthetic peptide of human ZDHHC5 |
|
Full name: |
zinc finger, DHHC-type containing 5 |
|
Synonyms: |
DHHC5; ZNF375 |
|
SwissProt: |
Q9C0B5 |
|
ELISA Recommended dilution: |
2000-5000 |
|
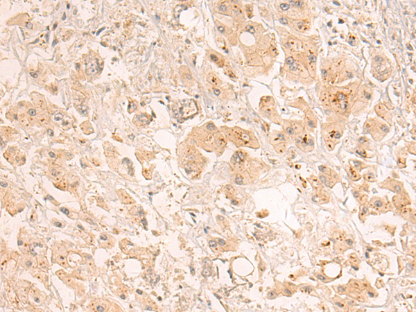
IHC positive control: |
Human lung cancer |
|
IHC Recommend dilution: |
20-100 |
|
WB Predicted band size: |
78 kDa |
|
WB Positive control: |
Mouse kidney tissue lysate |
|
WB Recommended dilution: |
200-1000 |
購(gòu)物車
幫助
021-54845833/15800441009
