中文名稱 : 兔抗ZFP64多克隆抗體
|
Background: |
Zinc-finger proteins contain DNA-binding domains and have a wide variety of functions, most of which encompass some form of transcriptional activation or repression. The majority of zinc-finger proteins contain a Krüppel-type DNA binding domain and a KRAB domain, which is thought to interact with KAP1, thereby recruiting histone modifying proteins. ZFP64 (Zinc finger protein 64), also known as ZNF338, is a 681 amino acid homolog of the mouse Zfp64 protein and is a member of the Krüppel C2H2-type zinc-finger family. Localized to the nucleus, ZFP64 contains nine C2H2-type zinc fingers and is thought to be involved in transcriptional regulation. Four isoforms of ZFP64 exist due to alternative splicing events. |
|
Applications: |
ELISA, IHC |
|
Name of antibody: |
ZFP64 |
|
Immunogen: |
Fusion protein of human ZFP64 |
|
Full name: |
ZFP64 zinc finger protein |
|
Synonyms: |
ZNF338 |
|
SwissProt: |
Q9NTW7 |
|
ELISA Recommended dilution: |
2000-5000 |
|
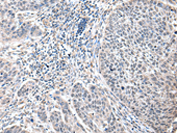
IHC positive control: |
Human lung cancer |
|
IHC Recommend dilution: |
25-100 |

購物車
幫助
021-54845833/15800441009
