中文名稱:兔抗ZKSCAN1多克隆抗體
|
Background: |
The ZKSCAN1 gene encodes a transcriptional regulator of the KRAB (Kruppel-associated box) subfamily of zinc finger proteins, which contain repeated Cys2-His2 (C2H2) zinc finger domains that are connected by conserved sequences, called H/C links (summarized by Tommerup and Vissing, 1995 [PubMed 7557990]). Transcriptional regulatory proteins containing tandemly repeated zinc finger domains are thought to be involved in both normal and abnormal cellular proliferation and differentiation. See ZNF91 (MIM 603971) for general information on zinc finger proteins. |
|
Applications: |
ELISA, WB, IHC |
|
Name of antibody: |
ZKSCAN1 |
|
Immunogen: |
Fusion protein of human ZKSCAN1 |
|
Full name: |
zinc finger with KRAB and SCAN domains 1 |
|
Synonyms: |
KOX18; ZNF36; PHZ-37; ZNF139; ZSCAN33; 9130423L19Rik |
|
SwissProt: |
P17029 |
|
ELISA Recommended dilution: |
5000-10000 |
|
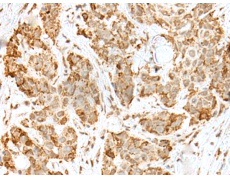
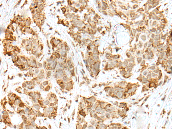
IHC positive control: |
Human tonsil and human thyroid cancer |
|
IHC Recommend dilution: |
25-100 |
|
WB Predicted band size: |
64 kDa |
|
WB Positive control: |
Human cerebrum tissue lysate |
|
WB Recommended dilution: |
500-2000 |


購(gòu)物車
幫助
021-54845833/15800441009
