中文名稱:兔抗ZNF239多克隆抗體
|
Background: |
MOK2 proteins are DNA- and RNA-binding proteins that are mainly associated with nuclear RNP components, including the nucleoli and extranucleolar structures (Arranz et al., 1997 [PubMed 9121460]). |
|
Applications: |
ELISA, IHC |
|
Name of antibody: |
ZNF239 |
|
Immunogen: |
Fusion protein of human ZNF239 |
|
Full name: |
zinc finger protein 239 |
|
Synonyms: |
MOK2; HOK-2 |
|
SwissProt: |
Q16600 |
|
ELISA Recommended dilution: |
2000-5000 |
|
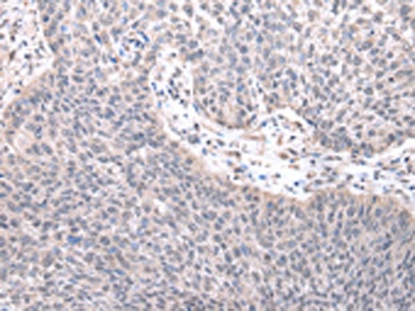
IHC positive control: |
Human lung cancer |
|
IHC Recommend dilution: |
25-100 |

購(gòu)物車
幫助
021-54845833/15800441009
