|
Background: |
This gene encodes a protein that functions in the regulation of neuronal excitability. The encoded protein forms an M-channel by associating with the products of the related KCNQ2 or KCNQ5 genes, which both encode integral membrane proteins. M-channel currents are inhibited by M1 muscarinic acetylcholine receptors and are activated by retigabine, a novel anti-convulsant drug. Defects in this gene are a cause of benign familial neonatal convulsions type 2 (BFNC2), also known as epilepsy, benign neonatal type 2 (EBN2). Alternative splicing of this gene results in multiple transcript variants. |
|
Applications: |
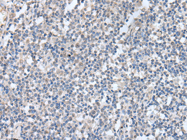
ELISA, IHC |
|
Name of antibody: |
KCNQ3 |
|
Immunogen: |
Synthetic peptide of human KCNQ3 |
|
Full name: |
potassium channel, voltage gated KQT-like subfamily Q, member 3 |
|
Synonyms: |
EBN2; BFNC2; KV7.3 |
|
SwissProt: |
O43525 |
|
ELISA Recommended dilution: |
2000-5000 |
|
IHC positive control: |
Human tonsil |
|
IHC Recommend dilution: |
25-100 |

購物車
幫助
021-54845833/15800441009
