|
Background: |
This gene encodes the type I keratin 9, an intermediate filament chain expressed only in the terminally differentiated epidermis of palms and soles. Mutations in this gene cause epidermolytic palmoplantar keratoderma. |
|
Applications: |
ELISA, IHC |
|
Name of antibody: |
KRT9 |
|
Immunogen: |
Synthetic peptide of human KRT9 |
|
Full name: |
keratin 9 |
|
Synonyms: |
K9; CK-9; EPPK |
|
SwissProt: |
P35527 |
|
ELISA Recommended dilution: |
5000-10000 |
|
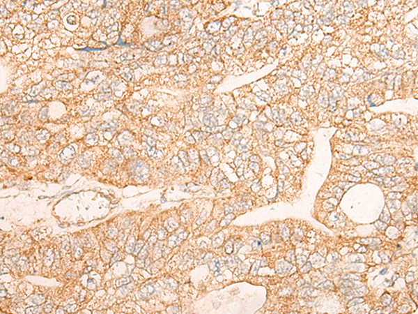
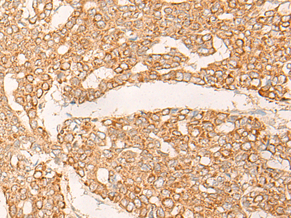
IHC positive control: |
Human liver cancer and Human gastric cancer |
|
IHC Recommend dilution: |
30-150 |

購物車
幫助
021-54845833/15800441009
