中文名稱: 兔抗FUCA2多克隆抗體
Background:
This gene encodes a plasma alpha-L-fucosidase, which represents 10-20% of the total cellular fucosidase activity. The protein is a member of the glycosyl hydrolase 29 family, and catalyzes the hydrolysis of the alpha-1,6-linked fucose joined to the reducing-end N-acetylglucosamine of the carbohydrate moieties of glycoproteins. This enzyme is essential for Helicobacter pylori adhesion to human gastric cancer cells.
Applications:
ELISA, WB, IHC
Name of antibody:
FUCA2
Immunogen:
Fusion protein of human FUCA2
Full name:
alpha-L-fucosidase 2
Synonyms:
dJ20N2.5
SwissProt:
Q9BTY2
ELISA Recommended dilution:
5000-10000
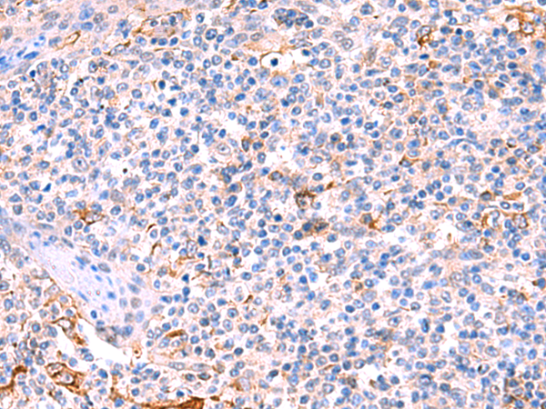
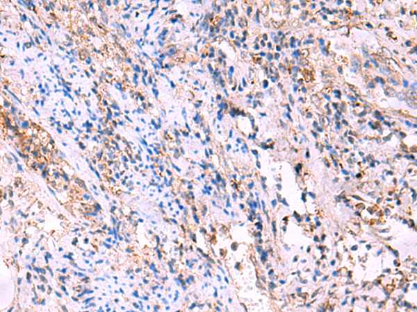
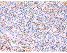
IHC positive control:
Human tonsil and Human cervical cancer
IHC Recommend dilution:
50-300
WB Predicted band size:
54 kDa
WB Positive control:
Mouse heart tissue lysate
WB Recommended dilution:
1000-5000

購物車
幫助
021-54845833/15800441009
