中文名稱:兔抗CLDN5多克隆抗體
|
Background: |
This gene encodes a member of the claudin family. Claudins are integral membrane proteins and components of tight junction strands. Tight junction strands serve as a physical barrier to prevent solutes and water from passing freely through the paracellular space between epithelial or endothelial cell sheets. Mutations in this gene have been found in patients with velocardiofacial syndrome. Alternatively spliced transcript variants encoding the same protein have been found for this gene |
|
Applications: |
ELISA, IHC |
|
Name of antibody: |
CLDN5 |
|
Immunogen: |
Synthetic peptide of human CLDN5 |
|
Full name: |
claudin 5 |
|
Synonyms: |
AWAL, BEC1, TMVCF, CPETRL1 |
|
SwissProt: |
O00501 |
|
ELISA Recommended dilution: |
1000-2000 |
|
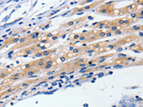
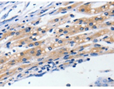
IHC positive control: |
Human liver cancer |
|
IHC Recommend dilution: |
5-20 |
|
|
購物車
幫助
021-54845833/15800441009
