儲(chǔ) 存: 冷凍(-20℃)
|
Background: |
The lethal (2) giant larvae protein of Drosophila plays a role in asymmetric cell division, epithelial cell polarity, and cell migration. This human gene encodes a protein similar to lethal (2) giant larvae of Drosophila. In fly, the protein's ability to localize cell fate determinants is regulated by the atypical protein kinase C (aPKC). In human, this protein interacts with aPKC-containing complexes and is cortically localized in mitotic cells. Alternative splicing results in multiple transcript variants encoding different isoforms. |
|
Applications: |
ELISA, IHC |
|
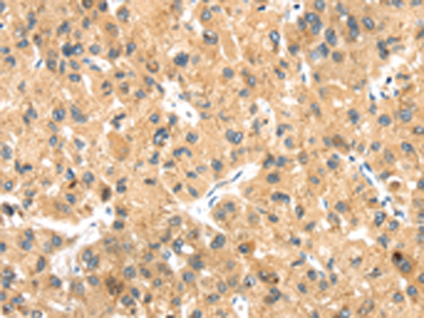
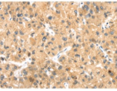
Name of antibody: |
LLGL2 |
|
Immunogen: |
Synthetic peptide of human LLGL2 |
|
Full name: |
LLGL scribble cell polarity complex component 2 |
|
Synonyms: |
HGL; LGL2; Hugl-2 |
|
SwissProt: |
Q6P1M3 |
|
ELISA Recommended dilution: |
2000-5000 |
|
IHC positive control: |
Human liver cancer |
|
IHC Recommend dilution: |
25-100 |

購物車
幫助
021-54845833/15800441009
